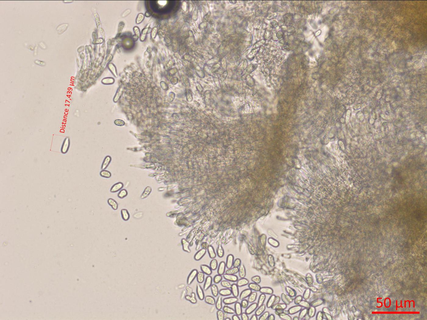
Nom latin : Cryptosporiopsis tarraconensis
Crédit photo: Laboratoire d'expertise et de diagnostic en phytoprotection - MAPAQ