Fusarium poae
- Culture : Aucun pigment coloré ou pigment rose à jaune apparaissant dans le milieu de culture PDA (visible dessous).
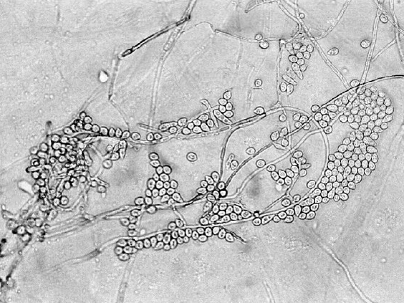
- Mycélium : Septé.
- Macroconidies : Rares. Phragmospores à 3-5 septations transversales. Falciformes (en forme de faucille). Cellule basale en forme de pied. Rarement regroupées en sporodochies. Dimension : 20-40 x 3-4,5 μm. Sur milieu de culture, la production de macroconidies est stimulée par la lumière UV.
- Microconidies : Abondantes. 0 septation (= amérospores) (habituellement) / 1 septation (= didymospores) (rarement). Napiformes (= en forme de navet), en forme de goutte ou sphériques. Produites par des monophialides ayant une collerette apparente (absence de polyphialide). Dimension : 8-12 x 7-10 μm.
- Chlamydospores : Rares. En chaînes ou en grappes.
Le champignon Fusarium poae peut affecter les cultures suivantes : avoine, blé d'automne, blé de printemps, lin, luzerne, maïs grain et fourrager, maïs sucré, melon d'eau, œillets, orge, seigle d'automne et tulipes.
Booth C. (1971). The Genus Fusarium. Commonwealth Mycological Institute, Kew, Surrey, England. 237 p.
International Mycological Institute (IMI). Descriptions of Fungi and Bacteria. CAB International (CABI), Kew, Surrey, United Kingdom.
Leslie J.F. & Summerell B.A. (2006). The Fusarium Laboratory Manual. Blackwell Publishing. 388 p.
Nelson P.E., Toussoun T.A. & Marasas W.F.O. (1983). FUSARIUM SPECIES - An Illustrated Manual for Identification. The Pennsylvania State University Press. 193 p.
Noms des maladies des plantes au Canada - 4e édition (2003). Société de protection des plantes du Québec (SPPQ). 340 p.
NCBI : Taxa descriptions (Fusarium poae)
Cultures ou autres organismes affectés
Maladies parasitaires
Maïs grain et fourrager
Maïs grain et fourrager - Fusariose de l'épi (Fusarium poae)_2
