Nom latin : Verticillium dahliae
Nom latin synonyme : Verticillium albo-atrum var. dahliae
Crédit photo: Laboratoire d'expertise et de diagnostic en phytoprotection - MAPAQ
Légende: Conidies, conidiophores en forme de verticilles et hyphes de Verticillium.
Crédit photo: Laboratoire d'expertise et de diagnostic en phytoprotection - MAPAQ
Légende: Sur un milieu de culture gélosé, microsclérotes de Verticillium (x 16, stéréomicroscope)
Crédit photo: Laboratoire d'expertise et de diagnostic en phytoprotection - MAPAQ
Légende: Hyphe, conidiophores et conidies de Verticillium.
Crédit photo: Laboratoire d'expertise et de diagnostic en phytoprotection - MAPAQ
Légende: Conidies et conidiophores de Verticillium.
Crédit photo: Laboratoire d'expertise et de diagnostic en phytoprotection – MAPAQ
Légende: Verticillium dahliae sur milieu PDA après 7 jours de croissance.
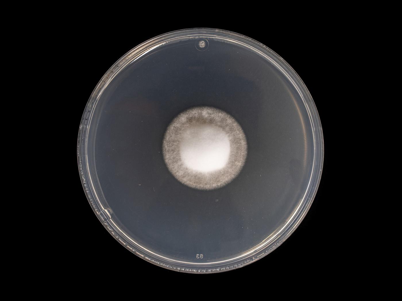
Crédit photo: Laboratoire d'expertise et de diagnostic en phytoprotection – MAPAQ
Légende: Verticillium dahliae sur milieu PDA après 14 jours de croissance.
Crédit photo: Laboratoire d'expertise et de diagnostic en phytoprotection – MAPAQ
Légende: Verticillium dahliae sur milieu PDA après 21 jours de croissance.
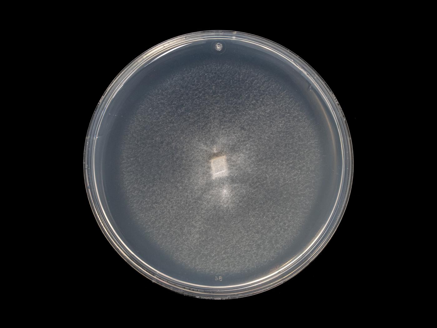
Crédit photo: Laboratoire d'expertise et de diagnostic en phytoprotection – MAPAQ
Légende: Verticillium dahliae sur milieu SNA après 7 jours de croissance.
Crédit photo: Laboratoire d'expertise et de diagnostic en phytoprotection – MAPAQ
Légende: Verticillium dahliae sur milieu SNA après 14 jours de croissance.
Crédit photo: Laboratoire d'expertise et de diagnostic en phytoprotection – MAPAQ
Légende: Verticillium dahliae sur milieu SNA après 21 jours de croissance.
Verticillium_dahliae_1
Verticillium_dahliae_2
Verticillium_dahliae_3
Verticillium_dahliae_4
Verticillium_dahliae_5
Verticillium_dahliae_6
Verticillium_dahliae_7
Verticillium_dahliae_8
Verticillium_dahliae_9
Verticillium_dahliae_10
Morphologie

Conidies : Proviennent des apex des phialides, de forme ellipsoïdale ou irrégulièrement cylindrique, hyalines, en majorité simple et peuvent être occasionnellement avoir une septation. Dimension : 2,5-8 x 1,4-3,2 μm.

Conidiophores : Abondants, hyalins, portant de 3 à 4 phialides qui surgissent à chaque noeud. Les phialides varient en leur grosseur (dimension généralement de 16-35 x 1-2,5 μm).

Microsclérotes : Surgissent de façon centrale aux cultures. De teinte brune foncée à noire, formées en botryose ou cylindrique (formé de cellules globulaires). Chaque microsclérote émerge d'un hyphe simple par bourgeonnement. De forme variable (élongé à une sphère imparfaite). Très variable en grosseur. Diamètre: 15-100 μm.

Chlamydospores : Absentes.

Dommages

Le champignon Verticillium dahliae peut affecter les cultures suivantes : abricotier, amaryllis, argousier, aubergine, bleuet nain, bleuet en corymbe, cerisier, chèvrefeuilles, chrysanthèmes, citrouille, concombre, épinard, épine-vinette du japon, érables, fraise, framboise rouge, framboise noire, géraniums (pélargoniums), ginseng d’amérique, houblon, ketmie, marguerites, melons (cantaloup, melon miel, etc.), menthe, muflier, ormes, pêcher, pétunias, piment, poivron, pomme de terre, potiron, reine-marguerite, rosiers, sarriette, tabac, tomate, tournesols et trèfle.

Références et liens

Noms des maladies des plantes au Canada. 4e éd. (2003). Société de protection des plantes du Québec (SPPQ), Sainte-Foy (Québec). 340 p.

International Mycological Institute (IMI). Descriptions of Fungi and Bacteria. CAB International (CABI), Kew, Surrey, United Kingdom.