Aller au contenu principal
Accueil
Toggle menu
Me connecter
  • Accueil
  • Rechercher
    • Symptômes et dommages sur les plantes
    • Culture
    • Insectes et autres invertébrés
    • Mauvaises herbes et autres plantes
    • Virus et viroïdes
    • Champignons
    • Nématodes
    • Bactéries et phytoplasmes
  • Identifier
  • Glossaire
  • Galerie d'images

Champignons

  1. Accueil
  2. Maladies parasitaires
  3. Champignons

Dossier

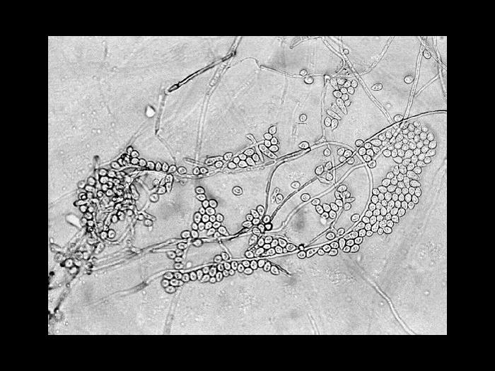
Fusarium equiseti

Fusarium_equiseti_1 Fusarium_equiseti_1 Fusarium_equiseti_2 Fusarium_equiseti_2 Fusarium_equiseti_3 Fusarium_equiseti_3 Fusarium_equiseti_4 Fusarium_equiseti_4 Fusarium_equiseti_5 Fusarium_equiseti_5
Maladies parasitairesChampignons

Fusarium graminearum

Fusarium_graminearum_1 Fusarium_graminearum_1 Fusarium_graminearum_2 Fusarium_graminearum_2
Maladies parasitairesChampignons

Fusarium verticillioides

Fusarium_verticillioides_1 Fusarium_verticillioides_1
Maladies parasitairesChampignons

Fusarium oxysporum

Fusarium_oxysporum_1 Fusarium_oxysporum_1 Fusarium_oxysporum_2 Fusarium_oxysporum_2 Fusarium_oxysporum_3 Fusarium_oxysporum_3 Fusarium_oxysporum_4 Fusarium_oxysporum_4
Maladies parasitairesChampignons

Fusarium poae

Fusarium_poae_1 Fusarium_poae_1
Maladies parasitairesChampignons

Fusarium sambucinum

Fusarium_sambucinum_1 Fusarium_sambucinum_1
Maladies parasitairesChampignons

Neocosmospora solani

Maladies parasitairesChampignons

Phytophthora brassicae

Maladies parasitairesChampignons

Phytophthora cactorum

Maladies parasitairesChampignons

Phytophthora capsici

Maladies parasitairesChampignons

Pagination

  • Première page « First
  • Page précédente ‹ Previous
  • …
  • Page 3
  • Page 4
  • Page 5
  • Page 6
  • Page courante 7
  • Page 8
  • Page 9
  • Page 10
  • Page 11
  • …
  • Page suivante Next ›
  • Dernière page Last »
Logo IRIIS
L’outil IRIIS est enrichi par le MAPAQ
et ses collaborateurs
Liens 

 À propos
 Fournir des images
 Crédits photo
 Glossaire
 Conditions d'utilisation
 Admin

Contact 

Téléphone : 418 523-5411
Sans frais : 1 888 535-2537
Télécopieur : 418 644-5944
Courriel : iriisphytoprotection@craaq.qc.ca

Adresse 

Édifice Delta 1
2875, boulevard Laurier, 9e étage

Québec (Québec) G1V 2M2
Canada

Propulsé par craaq

Ce site est optimisé pour Mozilla Firefox et Google Chrome

© CRAAQ, 2023 Tous droits réservés

       
sfy39587stp18
Drupal 9 Appliance - Powered by TurnKey Linux